• Предмет: Биология
  • Автор: 5461529
  • Вопрос задан 10 лет назад

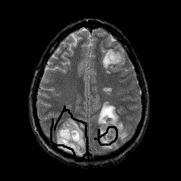
Опишите в каких внутричерепных структурах Вы нашли патологию (Саркома). Необходимо назвать отдел мозга.

Приложения:

Ответы

Ответ дал: nepmanbeat
0
вот я отметил посмотри 
Приложения:
Вас заинтересует