Ответы
Ответ дал:
0
Это точно ткань печени, а вот со структурами я не уверена -
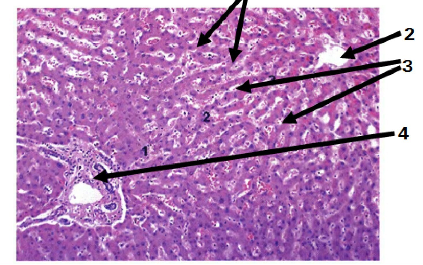
1. печеночные пластинки
2. вена центральная
3. синусы
4. триада ( желчный проток?)
1. печеночные пластинки
2. вена центральная
3. синусы
4. триада ( желчный проток?)
Ответ дал:
0
спасибо
Вас заинтересует
2 года назад
2 года назад
7 лет назад
7 лет назад
10 лет назад
10 лет назад
10 лет назад