Вы получили мазок крови и рассматриваете его под микроскопом. Укажите функции клеток, отмеченных цифрами. а) свёртывание крови б) противовирусный и противораковый иммунитет в) защита от паразитов г) высвобождение гистамина в аллергической реакции д) транспорт кислорода е) антибактериальный иммунитет, выделение активных форм кислорода ж) могут превращаться в макрофаги
Приложения:
Ответы
Ответ дал:
0
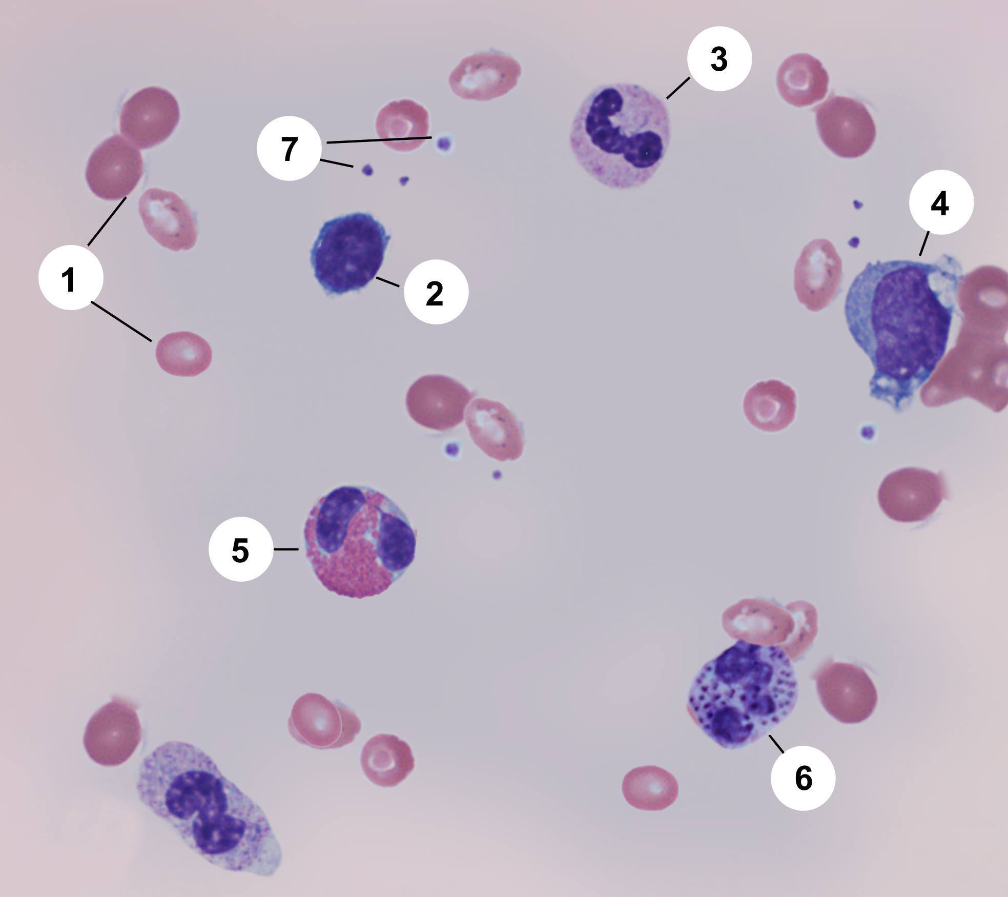
1-эритроциты
2-лимфоцит
3-нейтрофил
4-моноцит
5-эозинофил
6-базоил
7-тромбоциты
а) свёртывание крови - 7
б) противовирусный и противораковый иммунитет - 2
в) защита от паразитов - 5
г) высвобождение гистамина в аллергической реакции - 6
д) транспорт кислорода - 1
е) антибактериальный иммунитет, выделение активных форм кислорода - 3
ж) могут превращаться в макрофаги-4
2-лимфоцит
3-нейтрофил
4-моноцит
5-эозинофил
6-базоил
7-тромбоциты
а) свёртывание крови - 7
б) противовирусный и противораковый иммунитет - 2
в) защита от паразитов - 5
г) высвобождение гистамина в аллергической реакции - 6
д) транспорт кислорода - 1
е) антибактериальный иммунитет, выделение активных форм кислорода - 3
ж) могут превращаться в макрофаги-4
Ответ дал:
0
спасибо
Вас заинтересует
2 года назад
7 лет назад
7 лет назад
10 лет назад
10 лет назад