• Предмет: Биология
  • Автор: Feyana
  • Вопрос задан 2 года назад

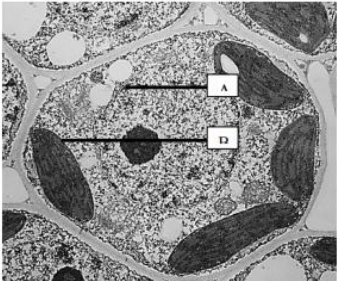
1. На рисунке изображена растительная клетка.

а) Опишите основную функцию органеллы А на рисунке

в) опишите основную функцию органеллы В на рисунке

с) Вычислите линейное увеличение микрофотографии, если длина органеллы В равна 10 мкм

Приложения:

Ответы

Ответ дал: borneo1
262

А ядро - Хранение, передача и реализпция генетического материала

В хлоропласт - фотосинтез (синтез органических веществ из неорганических при участии солнечного света)

Для расчета линейного увеличения надо померить длину объекта в мм на картинкеданной вам, затем разделить на 10 мкм

Вас заинтересует