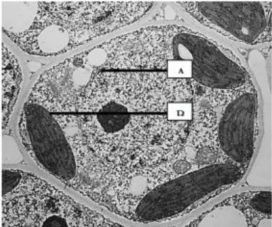
(a) Опишите основную функцию органеллы А на рисунке.
(b) Опишите основную функцию органеллы В на рисунке.
(c) Вычислите линейное увеличение микрофотографии, если длина органеллы В равна 10 мкм. Покажите свою работу.
Приложения:

Ответы
Ответ дал:
31
Ответ:
А ядро - Хранение, передача и реализация генетического материала.
В хлоропласт - фотосинтез (синтез органических веществ из неорганических при участии солнечного света).
Для расчета линейного увеличения надо померить длину объекта в мм, затем разделить на 10 мкм.
Объяснение:
Вас заинтересует
1 год назад
2 года назад
2 года назад
3 года назад
3 года назад
8 лет назад
8 лет назад