• Предмет: Биология
  • Автор: LIZA657085
  • Вопрос задан 2 года назад

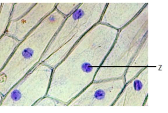
На рисунке видна растительная клетка под микроскопом. На рисунке буквой z обозначена состовная часть клетки, функцией которой является... Ответы могут быть... А-сохранение наследственной информации Б-фотосинтез-создание питательных веществ В-поддержание формы клетки​

Приложения:

Ответы

Ответ дал: Машунька22
32

Ответ:

А

Объяснение:

Это ядро, его функцией является сохранение и передача наследственной информации


vertamila: спасибо спасибо спасибо тебе огромное
Вас заинтересует