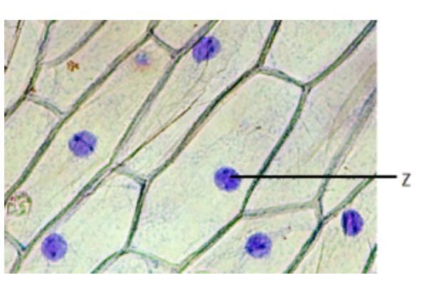
На рисунке видна растительная клетка под микроскопом.
Рассмотри рисунок и ответь на вопрос.
На рисунке буквой Z обозначена составная часть клетки, функцией которой является:
а) образование кислорода и питательных веществ с использованием солнечной энергии
б)сохранение наследственной информации
в) защита клетки
Приложения:

Ответы
Ответ дал:
4
Ответ:
б)
Объяснение:
На рисунке под буквой z изображено ядро. Ядро состоит из ядерной мембраны и нуклоплазмы, содержащий хроматин, представленный молекулой ДНК. Перед делением клетки в ядре видны хромосомы (молекулы ДНК, одетые белым чехлом. В молекулах ДНК зашифрована наследственная программа развития каждой клетки и всего организма, ядро контролирует жизнедеятельность клетки и её деление.
Вас заинтересует
2 года назад
2 года назад
2 года назад
7 лет назад
7 лет назад
9 лет назад