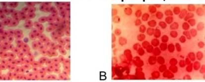
На рисунках А и В показаны эритроциты человека и лягушки.
А В
а) Определите, кому принадлежат данные эритроциты?
А- ________________, В- ___________________ [1]
в) Обоснуйте свой ответ. Почему вы так думаете?
Приложения:

Ответы
Ответ дал:
16
Ответ:
Объяснение:
А- лягушка , В- человек
В крови лягушки эритроцитов меньше, они крупней, имеют овальную форму и ядро. У человека эротроциты не имеют ядра и приобрели двояко вогнутую форму.
Вас заинтересует
2 года назад
2 года назад
2 года назад
2 года назад
7 лет назад
9 лет назад