• Предмет: Биология
  • Автор: elviraajdamirova
  • Вопрос задан 3 года назад

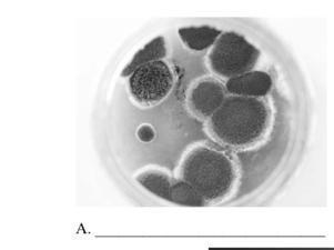
1.3.В приведённом ниже списке даны характеристики объектов живой природы. Все они, за исключением одной,относятся к характеристикам объекта, изображенного в здании 1.1 над буквой. А. Выпишите эту характеристику, которая "выпадает" из общего ряда. Объясните свой выбор ( неограниченный рост, активный образ жизни, клеточное строение, половое размножение) ​

Приложения:

Ответы

Ответ дал: DarkDuke
8

Активный образ жизни не является характерным для грибов. Он будет присущ животным.


elviraajdamirova: я не поняла ответ
DarkDuke: ответ: активный образ жизни
elviraajdamirova: спасибо
elviraajdamirova: если что это грибы
DarkDuke: да, я понял
Вас заинтересует