• Предмет: Биология
  • Автор: alihanabaj784
  • Вопрос задан 8 лет назад

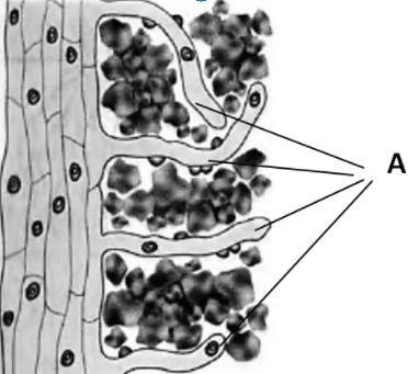
На рисунке представлено клеточное строение корня растения.


(a) Какая структура растения изображена под буквой А.

Приложения:

Ответы

Ответ дал: juliajuliajuila0208
0

Ответ:

Это корневой волосок :)

Вас заинтересует