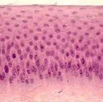
Яка особливість будови епітеліальної тканини?
А)клітини розміщені хаотично, міжклітинної речовини мало
Б) клітини розміщені щільно, міжклітинної речовини немає
В) клітини розміщені щільно, міжклітинної речовини багато
Г) клітини розміщені хаотично, міжклітинної речовини багато
Приложения:

Ответы
Ответ дал:
3
Б) розміщені щільно і немає міжклітинної речовини
Вас заинтересует
2 года назад
2 года назад
2 года назад
7 лет назад
9 лет назад