• Предмет: Биология
  • Автор: annazhuk170
  • Вопрос задан 2 года назад

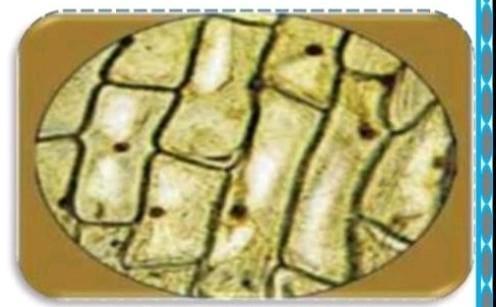
4. Роздивіться контури клітин. Виберіть у полі зору 3-4 клітини, у яких добре помітне ядро і велику вакуолю і замалюйте. Позначте складові клітини лусочки цибулі.​

Приложения:

Ответы

Ответ дал: roltonxd228
1

Ответ: У цих клітинах видно клітинну мембрану, ядро, цитоплазму та вакуолю.

Вас заинтересует