• Предмет: Биология
  • Автор: pantiushaskoryk
  • Вопрос задан 1 год назад

Установіть відповідність між типом тканини, зображеним на рисунку (1-4), та її назвою (А-Д).











посмугована м’язова

гладенька м’язова

нервова

епітеліальна

кісткова

Приложения:

Ответы

Ответ дал: wasjafeldman
3

Ответ:

1Г 2А 3В 4Д

Объяснение:

Рисунок №1 -- г)эпителиальная ткань.
Рисунок схематично изображает пласт однослойного плоского эпителия,клетки плотного прилегают друг к другу.

Рисунок №2 -- а)поперечно-полосатая мышечная ткань.
На рисунке изображена поперечно-полосатая скелетная мышечная ткань. Хорошо видна поперечная исчерченность.

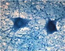
Рисунок №3 -- в)нервная ткань.
На рисунке -- два нейрона,окружённых нейроглией.

Рисунок №4 -- д)костная ткань.
Структурной единицей костной ткани является остеон (на рисунке их два),в центре которого расположен канал.

#SPJ1

Вас заинтересует